Apple’s Studio Display XDR Supports DICOM Medical Imaging for Diagnostic Radiology
Apple’s Studio Display XDR Just Changed the Game for Medical Imaging—Here’s Why It’s a Big Deal
In a move that’s sending shockwaves through both the tech and medical communities, Apple has unveiled its latest innovation: the Studio Display XDR. This isn’t just another high-end monitor—it’s a revolutionary tool that’s poised to transform how radiologists and medical professionals work, potentially replacing expensive single-purpose medical imaging displays with a versatile, Apple-designed solution.
The Studio Display XDR: More Than Meets the Eye
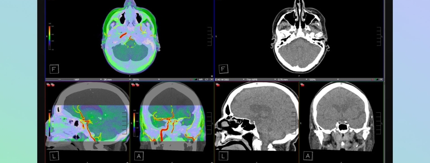
At first glance, you might think this is just Apple’s answer to professional monitors like those from Dell or LG. But look closer, and you’ll discover something extraordinary: built-in DICOM medical imaging presets and a dedicated Medical Imaging Calibrator. For those unfamiliar with medical terminology, DICOM (Digital Imaging and Communications in Medicine) is the international standard for handling, storing, printing, and transmitting medical imaging information. It’s the backbone of modern radiology.
What makes this so groundbreaking? Traditionally, radiologists have relied on specialized, often prohibitively expensive medical imaging monitors that cost thousands—sometimes tens of thousands—of dollars. These displays are purpose-built for one task: viewing medical images with the precision and accuracy required for diagnosis. Now, Apple is essentially saying, “Why buy a specialized tool when you can have a multipurpose powerhouse that does it all?”
The Technical Marvel Behind the Magic
Let’s dive into what makes the Studio Display XDR so special. Apple has packed this display with cutting-edge technology that rivals—and in some cases surpasses—dedicated medical imaging monitors:
• Mini-LED backlight with 2,304 local dimming zones for unparalleled contrast and brightness control
• 2000 nits of peak HDR brightness, ensuring even the darkest details in medical scans are visible
• 1,000,000:1 contrast ratio for true-to-life image reproduction
• 120Hz refresh rate for smooth, flicker-free viewing during long diagnostic sessions
• Advanced color accuracy that meets medical imaging standards
But here’s where it gets really interesting: the display includes a dedicated mode switching option that lets users seamlessly transition from standard viewing modes to radiology-specific viewing modes. This means radiologists can quickly adapt the display to their specific needs without compromising on quality or accuracy.
FDA Clearance and Healthcare Impact
Apple isn’t just throwing this product out into the wild and hoping for the best. The company has developed a proprietary Medical Imaging Calibrator specifically for the Studio Display XDR, and it’s currently pending FDA clearance. This is crucial because it demonstrates Apple’s commitment to meeting the rigorous standards required for medical devices in the United States.
According to Apple, the goal is clear: “to continue to improve technology available to the healthcare community to boost patient care.” This isn’t just about creating another product—it’s about democratizing access to high-quality medical imaging tools. By making this technology more affordable and accessible, Apple could potentially help smaller clinics and hospitals that previously couldn’t justify the cost of specialized medical displays.
The Price Point That’s Turning Heads
Here’s where things get really interesting from a market perspective. The Studio Display XDR starts at $3,299—a price that might seem steep for a consumer monitor but is actually quite competitive in the medical imaging space. Specialized medical displays often cost anywhere from $5,000 to $20,000 or more, depending on their capabilities and certifications.
This pricing strategy could disrupt the entire medical imaging display market, forcing competitors to either lower their prices or risk losing market share to Apple’s more versatile solution. It’s a classic example of Apple using its economies of scale and technological expertise to enter a niche market and shake things up.
The Broader Implications for Healthcare Technology
The Studio Display XDR represents something bigger than just a new product launch. It’s part of a growing trend of consumer technology companies entering the healthcare space with innovative solutions. Apple has been steadily building its healthcare credentials with features like the Apple Watch’s ECG and blood oxygen monitoring, and now this move into medical imaging shows the company is serious about becoming a major player in healthcare technology.
This could have far-reaching implications for how medical technology is developed and deployed. Instead of specialized, expensive equipment that becomes obsolete quickly, we might see more versatile, upgradable solutions that leverage the rapid innovation cycles of consumer technology companies.
Pre-order Details and Market Launch
For those eager to get their hands on this revolutionary display, pre-orders begin on Wednesday, March 4 at 9:15 a.m. Eastern Time, with the official launch following on March 11. The timing is strategic, coming just before Apple’s rumored March product event where the company is expected to unveil additional innovations.
The Future of Medical Imaging
As we look to the future, the Studio Display XDR could be just the beginning. If successful, we might see Apple expand its medical imaging capabilities, potentially integrating AI-powered diagnostic tools or cloud-based image sharing directly into the display’s ecosystem. The possibilities are endless, and the medical community is watching closely to see how this technology will be adopted and what impact it will have on patient care.
What makes this development truly exciting is that it represents a convergence of consumer technology and specialized medical equipment. It’s a perfect example of how innovation in one field can revolutionize another, potentially making high-quality medical care more accessible and affordable for everyone.
#StudioDisplayXDR #MedicalImaging #AppleInnovation #HealthcareTech #DICOM #Radiology #MedicalTechnology #AppleHealthcare #TechRevolution #MedicalDisplay #FDAClearance #HealthcareInnovation #AppleEvent #MedicalTech #DisplayTechnology
One display to rule them all.
Apple just made radiologists’ dreams come true.
The $3,299 monitor that could replace $20,000 equipment.
Medical imaging meets consumer tech.
FDA clearance pending—but the future is here.
From Cupertino to your clinic.
The display that’s changing healthcare.
Apple’s secret weapon in medical tech.
Why radiologists are switching to Apple.
The tech revolution in medical imaging.
Affordable precision for better patient care.
Apple’s bold move into healthcare.
The display that’s too good to be true.
Medical imaging for the masses.
Your Mac, your monitor, your medical lab.
The future of diagnostic radiology.
Apple’s healthcare ambitions revealed.
Breaking barriers in medical technology.
The monitor that’s worth every penny.
How Apple is democratizing medical imaging.
The display that’s making waves in hospitals.
Technology that saves lives.
Apple’s answer to expensive medical equipment.
The revolution you didn’t see coming.
From consumer tech to clinical care.
The display that’s changing everything.
Apple’s healthcare play is bigger than you think.
The monitor that’s worth its weight in gold.
Why every hospital needs this display.
The future of medical imaging is here.
Apple’s boldest move yet.
The display that’s too good to ignore.
Medical tech meets consumer innovation.
The monitor that’s worth the hype.
Apple’s healthcare revolution continues.
The display that’s making history.
Why radiologists are switching sides.
The monitor that’s changing the game.
Apple’s secret healthcare weapon.
The display that’s worth every dollar.
Medical imaging for everyone.
The future is now.
Apple’s healthcare ambitions revealed.
The monitor that’s too good to be true.
Why this display is a game-changer.
The tech that’s saving lives.
Apple’s bold move into medical tech.
The display that’s making waves.
Medical imaging meets consumer innovation.
The monitor that’s worth the hype.
Apple’s healthcare revolution continues.
The display that’s changing everything.
Why every hospital needs this.
The future of diagnostic radiology.
Apple’s answer to expensive equipment.
The revolution you didn’t see coming.
From consumer tech to clinical care.
The display that’s changing the game.
Apple’s secret healthcare weapon.
The monitor that’s worth every dollar.
Medical imaging for everyone.
The future is now.,



Leave a Reply
Want to join the discussion?Feel free to contribute!