The Crown Jewel of Dentistry? Breakthrough Tech Could Transform Tooth Repair
Researchers at the University of Texas at Dallas have unveiled a groundbreaking advancement in dental restoration technology that could fundamentally change how patients receive permanent tooth repairs. The team has developed a revolutionary 3D-printing method for creating zirconia dental restorations that dramatically reduces production time while maintaining exceptional strength and customization capabilities.
The innovation centers on a novel approach to the debinding process, a critical step in 3D-printed ceramic manufacturing where binding materials are removed from the printed object. Traditionally, this process has been a significant bottleneck, often taking several hours or even days to complete. The UT Dallas researchers have managed to compress this timeframe to under 30 minutes, representing a quantum leap in efficiency.
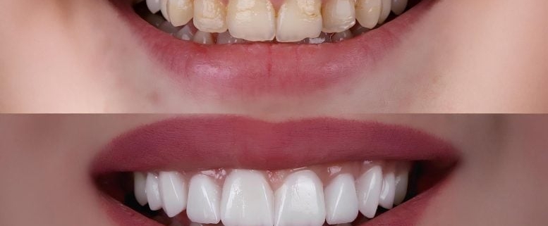
Zirconia, a crystalline oxide of zirconium, has emerged as the material of choice for dental restorations due to its remarkable properties. It combines superior strength with biocompatibility, making it ideal for crowns, bridges, and other permanent dental fixtures. The material’s natural tooth-like color and translucency ensure aesthetically pleasing results that blend seamlessly with existing dentition.
The implications of this technological breakthrough extend far beyond mere convenience. By enabling same-day dental restorations, the new method addresses one of the most significant pain points in modern dentistry: the multi-appointment process that typically spans weeks. Patients currently face the inconvenience of temporary crowns, multiple dental visits, and extended waiting periods while their permanent restorations are fabricated in external laboratories.
The 3D-printing process itself leverages advanced digital scanning technology to create precise digital models of patients’ teeth and gums. These models are then used to design custom restorations that fit with unprecedented accuracy. The printing technology employs a layer-by-layer approach, depositing ultra-fine particles of zirconia that are subsequently fused through a carefully controlled heating process.
What sets this innovation apart is not just the speed but the preservation of material integrity. The rapid debinding process maintains the structural properties of the zirconia, ensuring that the final product meets or exceeds the durability standards of traditionally manufactured restorations. This is crucial because dental restorations must withstand the considerable forces of mastication while maintaining their form and function over many years.
The potential impact on dental practice is substantial. Same-day restorations could transform the patient experience, eliminating the need for temporary crowns that often cause discomfort and requiring fewer appointments overall. For dental practices, the technology promises increased efficiency and the ability to offer premium services that were previously impractical due to time constraints.
From an economic perspective, while the initial investment in 3D-printing equipment may be significant, the long-term benefits could include reduced laboratory costs, increased patient throughput, and the ability to provide higher-quality care. The technology also opens possibilities for more complex and customized designs that would be difficult or impossible to achieve with traditional manufacturing methods.
The research team’s achievement represents years of dedicated work in materials science, engineering, and dental technology. Their success in overcoming the debinding challenge demonstrates the potential for interdisciplinary collaboration to solve longstanding problems in healthcare technology.
Looking ahead, this breakthrough could pave the way for further innovations in dental materials and manufacturing techniques. The principles developed here might be applicable to other ceramic materials or even extend to different areas of medical device manufacturing where speed and precision are critical.
The dental industry has been moving toward digitalization for years, with CAD/CAM (Computer-Aided Design/Computer-Aided Manufacturing) systems becoming increasingly common. This new 3D-printing method represents the next logical step in this evolution, potentially accelerating the transition from analog to digital workflows in dental practices worldwide.
Patient acceptance of such technology is likely to be high, given the clear benefits of reduced treatment time and improved outcomes. However, the widespread adoption will depend on factors including cost, regulatory approval, and the willingness of dental professionals to embrace new technologies and workflows.
The environmental implications are also worth considering. Traditional dental restoration manufacturing often involves multiple transportation steps and significant material waste. A streamlined, in-office 3D-printing approach could reduce the carbon footprint associated with dental restorations while minimizing material waste through more precise manufacturing.
As this technology moves from research to clinical application, it will be crucial to monitor long-term outcomes and gather real-world data on the performance of these rapidly manufactured restorations. The dental community will be watching closely to see how this innovation performs in everyday practice and whether it can deliver on its promise of transforming tooth repair.
The work from UT Dallas researchers stands as a testament to how technological innovation can address practical healthcare challenges, potentially improving millions of lives through better, faster, and more accessible dental care. As the technology matures and becomes more widely available, it may well earn its title as the crown jewel of modern dentistry.
#3DPrinting #DentalInnovation #Zirconia #SameDayDentistry #DentalTechnology #UTDallas #MedicalBreakthrough #DigitalDentistry #DentalRestoration #HealthcareInnovation #FutureOfDentistry #CEREC #CADCAM #DentalMaterials #OralHealth #DentalCare #DentalTech #MedicalEngineering #DentalResearch #DentalSolutions,




Leave a Reply
Want to join the discussion?Feel free to contribute!